ngµç×ÓÓÎÏ·ÐÂÎÅÍøÑ¶£¨Í¨Ñ¶Ô±Ã«ÑàÆ¼£©ÈÕǰ£¬£¬ngµç×ÓÓÎÏ·Ö×Áö·ÀÖÎÖÐÐÄÂí¿¥½ÌÊÚÍŶÓǣͷ£¬£¬ÁªºÏÎàÖÝÊкìÊ®×Ö»áÒ½Ôº¡¢¡¢¡¢·ðɽÊеÚÒ»ÈËÃñÒ½Ôº¹²3¼Òµ¥Î»£¬£¬ÅäºÏÍê³ÉÁËÒ»Ïî±ÇÑʰ©»¼ÕßÄÚ²à×éÑʺóÁÜͶºÏÇø¿íÃâ·ÅÁƱÈÕÕ±ê×¼·ÅÁƵÄǰհÐÔIIIÆÚÁÙ´²Ñо¿£¬£¬Ê×´ÎÁ¢Òì±ÇÑʰ©»¼ÕßÄÚ²à×éÑʺóÁÜͶºÏÇø¿íÃâ·ÅÁƵġ°¼õ¶¾¡±ÐÂÊÖÒÕ£¬£¬ÔÚÈ·±£ÁÆÐ§µÄͬʱ£¬£¬ÏÔÖø¸ÄÉÆÁË»¼ÕßµÄÉúÑÄÖÊÁ¿¡£¡£¡£
¸ÃÏîÑо¿ÓÚÓ¢¹úÍâµØÊ±¼ä2023Äê2ÔÂ6ÈÕÔÚÏß½ÒÏþÓÚ¹ú¼Ê¶¥¼¶Ò½Ñ§ÆÚ¿¯¡¶Ó¢¹úҽѧÔÓÖ¾¡·£¨The British Medical Journal£¬£¬BMJ£©¡£¡£¡£Âí¿¥½ÌÊÚ¡¢¡¢¡¢ËïÓ±½ÌÊÚ¡¢¡¢¡¢³ÂÀÚÖ÷ÈÎҽʦ¡¢¡¢¡¢ÌÆÁáççÖ÷ÈÎҽʦΪÅäºÏͨѶ×÷Õߣ¬£¬Ã«ÑàÆ¼Ö÷ÈÎҽʦ¡¢¡¢¡¢Íõ˳öÎ˶ʿ¡¢¡¢¡¢¸ßÌìÉúÖ÷ÈÎҽʦ£¨ÎàÖÝÊкìÊ®×Ö»áÒ½Ôº£©¡¢¡¢¡¢ÕÅÄþÖ÷ÈÎҽʦ£¨·ðɽÊеÚÒ»ÈËÃñÒ½Ôº£©¡¢¡¢¡¢ÁºÏþÓêҽʦ¡¢¡¢¡¢Ð»·½ÔƽÌÊÚΪÅäºÏµÚÒ»×÷Õß¡£¡£¡£Í¬Ê±£¬£¬ÕâÏîÑо¿×÷Ϊ10%ÒÔÄÚµÄÓÅÒìÂÛÎÄÈëÑ¡ÁË2022ÃÀ¹ú·ÅÉäÖ×Áöѧ»á£¨ASTRO£©Äê»á¿ÚÍ·±¨¸æ¡£¡£¡£
±ÇÑʰ©¾ßÓÐÏÔ×ŵĵØÇøÊ¢ÐÐÐÔ£¬£¬È«Çò47%µÄ²¡Àý±¬·¢ÔÚÎÒ¹ú£¬£¬ÆäÖй㶫¡¢¡¢¡¢¹ãÎ÷¡¢¡¢¡¢¸£½¨µÈµØÓÈΪ¸ß·¢£¬£¬ÑÏÖØÍþв»ªÄϵØÇøÈËÃñµÄÉúÃü¿µ½¡¡£¡£¡£ÑʺóÁÜͶºÏÊDZÇÑʰ©Ê×Õ¾ÁܰÍÒýÁ÷Ö®Ò»£¬£¬³õÕïÊ±×ªÒÆÂʸߴï70-80%¡£¡£¡£¼ÈÍùÍÆ¼ö±ÇÑʰ©È«ÑʺóÁÜͶºÏÇøÔ¤·ÀÕÕÉ䣬£¬·ÅÁÆÏà¹Ø¶¾ÐԴ󣬣¬·ÅÁƺóÍíÆÚÍÌÑÊÄÑÌⱬ·¢ÂÊΪ35.4%£¬£¬¶øÕⲿ·Ö»¼ÕßÖÐÓÐ66.9%»á±¬·¢ÎóÎü£¬£¬12%ÎüÈëÐÔ·ÎÑ×£¬£¬10%²»¿ÉÕý³£Òûʳ¡¢¡¢¡¢ÐèÒªÒÀÀµ±ÇËǹܻòÕßθÔìðü¡£¡£¡£
Âí¿¥½ÌÊÚ¡¢¡¢¡¢ËïÓ±½ÌÊÚ¡¢¡¢¡¢Ã«ÑàÆ¼Ö÷ÈÎҽʦÍŶÓÒ»Ö±ÖÂÁ¦ÓÚ±ÇÑʰ©·ÅÁÆ¡°¼õ¶¾¡±ÐÂÊÖÒÕµÄÑо¿£¬£¬ÔçÔÚ2008Äê¾Í·¢Ã÷±ÇÑʰ©ÑʺóÁÜͶºÏ×ªÒÆµÄ¼ÍÂÉ£º£ºÑʺóÁÜͶºÏ·ÖΪÄÚ²à×éºÍÍâ²à×飬£¬±ÇÑʰ©ÑʺóÁÜͶºÏ×ªÒÆÖ÷Òª±¬·¢ÔÚÍâ²à×飬£¬ÄÚ²à×éÉÙÉÙÊÜÀÛ£¬£¬±¬·¢Âʲ»Áè¼Ý1%¡£¡£¡£ÔÚ´Ë»ù´¡ÉÏ£¬£¬Âí¿¥½ÌÊÚµÈǣͷÁªºÏÎàÖÝÊкìÊ®×Ö»áÒ½Ôº¼°·ðɽÊеÚÒ»ÈËÃñÒ½Ôº£¬£¬ÓÚ2017Ä꿪չÁËÒ»ÏîǰհÐÔ¡¢¡¢¡¢Ëæ»ú¡¢¡¢¡¢¶àÖÐÐĵÄ3ÆÚÁÙ´²ÊÔÑ飬£¬½ÏÁ¿Á˱ÇÑʰ©ÄÚ²à×éÑʺóÁܰÍÇø¿íÃâ·ÅÁÆÓë±ê×¼·ÅÁÆ£¨ÄÚ¡¢¡¢¡¢Íâ²à×é¾ù½ÓÊÜ·ÅÁÆ£©µÄÁÙ´²Ð§¹û¡£¡£¡£
ÕâÏîÑо¿Èë×éµÚ°Ë°æAJCC·ÖÆÚϵͳ·ÖÆÚΪT1-4N0-3M0ÆÚµÄ568Àý±ÇÑʰ©»¼Õߣ¬£¬°´1£º£º1Ëæ»ú·ÖÅäµ½ÄÚ²à×éÑʺóÁÜͶºÏ¿íÃâ·ÅÁÆ×飨285Àý£©ºÍ±ê×¼·ÅÁÆ×飨ÄÚ¡¢¡¢¡¢Íâ²à×é¾ù½ÓÊÜ·ÅÁÆ£©£¨283Àý£©¡£¡£¡£Ö÷ÒªÖÕµãÊÇÒâÏòÐÔÖÎÁÆÈËȺµÄÎÞ¾Ö²¿¸´±¬·¢ÑÄÂÊ¡£¡£¡£

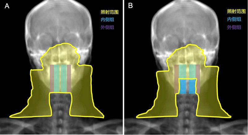
±ÇÑʰ©Ô¤·ÀÕÕÉä¹æÄ£Ê¾Òâͼ
A±ÈÕÕ×飺£ºÄÚ¡¢¡¢¡¢Íâ²à×éÑʺóÁÜͶºÏÇø¾ù½ÓÊÜÔ¤·ÀÕÕÉ䣨×ó£©
BÊÔÑé×飺£ºÄÚ²à×éÑʺóÁÜͶºÏÇø¿íÃâÔ¤·ÀÕÕÉ䣨ÓÒ£©
Ч¹ûÏÔʾ£¬£¬ÔÚ±ÇÑʰ©»¼ÕßÖУ¬£¬3ÄêÎÞ¾Ö²¿¸´±¬·¢ÑÄÂÊÔÚÄÚ²à×éÑʺóÁÜͶºÏÇø¿íÃâ·ÅÁÆ×éºÍ±ê×¼·ÅÁÆ×éÏàËÆ£¨95.3%¶Ô95.5%£¬£¬²îÖµ-0.2%£¬£¬·ÇÁÓЧPÖµ<0.001£©¡£¡£¡£Í¬Ñù£¬£¬3Äê×ÜÉúÑÄÂÊ£¨95.2%¶Ô96.4%£¬£¬P=0.16£©£¬£¬ÎÞÇøÓò¸´±¬·¢ÑÄÂÊ£¨96.9%¶Ô94.0%£¬£¬P=0.28£©£¬£¬ÎÞÔ¶´¦×ªÒÆÉúÑÄÂÊ£¨89.7%¶Ô92.3% £¬£¬P=0.25£©ÔÚÁ½×é¼ä¾ùÏàËÆ¡£¡£¡£

ÄÚ²à×éÑʺóÁܰÍÇø¿íÃâ·ÅÁÆ×éÓë±ê×¼·ÅÁÆ×éÉúÑÄÇúÏß½ÏÁ¿
£¨Á½×éµÄÎÞ¾Ö²¿¸´±¬·¢ÑÄÂÊ¡¢¡¢¡¢×ÜÉúÑÄÂÊ¡¢¡¢¡¢ÎÞÔ¶´¦×ªÒÆÉúÑÄÂʼ°ÎÞÇøÓò¸´±¬·¢ÑÄÂʾùÎÞͳ¼ÆÑ§²î±ð£©
ÔÚ¶¾¸±·´Ó³ºÍÉúÑÄÖÊÁ¿·½Ã棬£¬ÄÚ²à×éÑʺóÁÜͶºÏÇø¿íÃâ·ÅÁÆ×é·ÅÁÆÏà¹Ø¶¾¸±·´Ó³±¬·¢ÂʸüµÍ£¬£¬°üÀ¨¼±ÐÔð¤Ä¤Ñ×£¨ÄÚ²à×éÑʺóÁÜͶºÏ¿íÃâ·ÅÁÆ×é67.7%¶Ô±ê×¼·ÅÁÆ×é79.8%£©¡¢¡¢¡¢¼±ÐÔÍÌÑÊÄÑÌ⣨25.5%¶Ô35.1%£©¡¢¡¢¡¢ÌåÖØÏ½µ£¨46.8%¶Ô57.8%£©ÒÔ¼°ÍíÆÚÍÌÑÊÄÑÌ⣨24.0%¶Ô34.3%£©¡£¡£¡£ÁíÍ⣬£¬ÄÚ²à×éÑʺóÁÜͶºÏÇø¿íÃâ·ÅÁÆ×éÔÚ¿µ½¡×´Ì¬¡¢¡¢¡¢Éç»á¹¦Ð§¡¢¡¢¡¢ÊÇ·ñÈÝÒׯ£Àͼ°ÍÌÑÊÄÑÌâµÈ·½ÃæµÄÉúÑÄÖÊÁ¿¾ùÏÔ×ÅÓÅÓÚ±ê×¼·ÅÁÆ×é¡£¡£¡£

ÄÚ²à×éÑʺóÁܰÍÇø¿íÃâ·ÅÁÆ×éÓë±ê×¼·ÅÁÆ×éÉúÑÄÖÊÁ¿µÄ½ÏÁ¿
¸ÃÑо¿Á¢ÒìÐÔµØÌá³öÁ˱ÇÑʰ©»¼ÕßÄÚ²à×éÑʺóÁÜͶºÏÇøµÄ¿íÃâ·ÅÁÆ¡°¼õ¶¾¡±ÐÂÊÖÒÕ£¬£¬ÓÐÓÃïÔÌÁËÑÊËõ¼¡µÈÍÌÑÊÏà¹Ø½á¹¹µÄÕÕÉ䣬£¬È·±£ÁË»¼ÕßÖÎÁÆÐ§¹û²»½µµÍµÄͬʱ£¬£¬ÏÔ×ÅïÔÌ·ÅÁÆÖеÄð¤Ä¤Ñס¢¡¢¡¢ÍÌÑÊÄÑÌâ¡¢¡¢¡¢ÌåÖØÏ½µµÈ¶¾¸±·´Ó³£¬£¬Ìá¸ßÁË»¼ÕßÉúÑÄÖÊÁ¿£¬£¬½«Ê¹99%±ÇÑʰ©»¼Õß´ÓÖÐÊÜÒæ£¬£¬ÒÔºóÓÐÍû¸ÄдÁÙ´²±ÇÑʰ©ÖÎÁÆÖ¸ÄÏ£¬£¬Ô츣¸ü¶à±ÇÑʰ©»¼Õß¡£¡£¡£
ÂÛÎÄÁ´½Ó£º£ºhttp://bmj.com/cgi/content/full/bmj-2022-072133?ijkey=YXh1OStXT0mwRNi&keytype=ref